Qué ecografías realizamos?
ecografía de viabilidad
4 - 11 semanas






ecografía morfológica primer trimestre (genética y más)
12 - 14 semanas
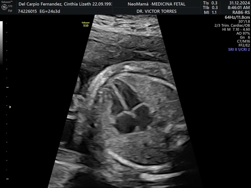
ecografía morfológica
18 - 24 semanas
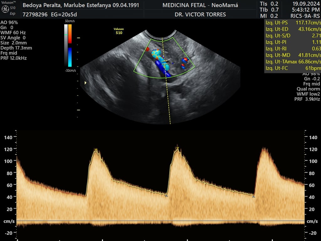
ecografía de crecimiento Doppler
24 - 40 semanas






ecocardiografía fetal
neurosonografía fetal
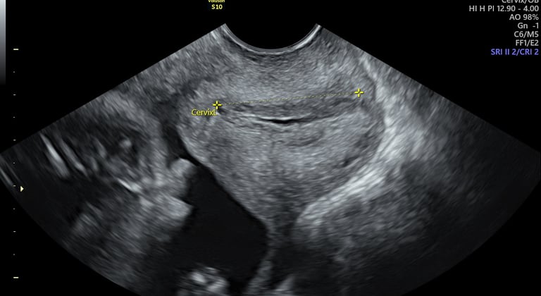
cervicometría






